診療のご案内MENU

審美歯科

当クリニックでは、患者様の健康美をトータルサポートするために、歯科で「ホワイトニング」「オールセラミック」などの審美歯科治療も行っております。同じクリニック内に美容皮膚科と歯科が併設されていることで、歯の定期メンテナンスのついでに美肌点滴を受けるなど、オールインワンで健康美の実現をはかって頂くことができます。
いくつになっても若々しく美しいお肌の実現だけでなく、審美歯科により「美しい口元」の実現もサポートさせて頂きます。

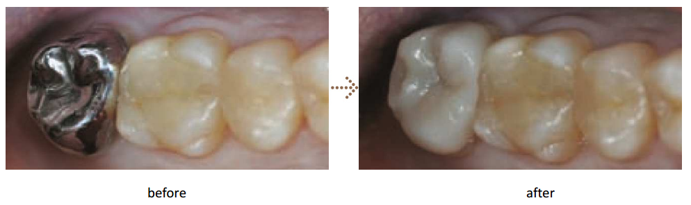
オールセラミック

オールセラミックとは、金属を使用せず、セラミックのみで作られた詰め物(インレー)・被せ物(クラウン)のことで、天然歯と比べても遜色のない白さを再現することができます。虫歯の治療などで入れた銀歯が気になって、人前で口を開けて笑えないという方は、一度当クリニックまでご相談ください。銀歯をオールセラミックに替えることで、他人の目を気にすることなく笑顔が浮かべられるようになります。

オールセラミックインレー

セラミック(陶器)だけで作られた詰め物(インレー)です。天然歯に近い白さや透明感を出すことができるなど、審美性の高さが特徴です。そのほか、歯垢などの汚れが付着しにくい、色素沈着(ステイン)による変色がない、金属を使用しないので、金属イオンの溶出による金属アレルギーが起こらないなどの特長があります。

オールセラミッククラウン

セラミック(陶器)だけで作られた被せ物(クラウン)です。天然歯に近い白さや透明感を出すことができます。また、歯垢(プラーク)などの汚れが付着しにくく、色素沈着(ステイン)による変色がないという特長もあります。ただし、オールセラミックを選択したからといって、必ずしもお口まわりの審美性を高めることができるとは限りません。オールセラミックの審美性は歯科医師の技術により左右されることがありますので、信頼できる歯科医師のもとで治療を受けられることをおすすめします。

オールセラミック Case1
オールセラミック Case2

ジルコニア

人工ダイヤモンドなどでも使用される「ジルコニア」という素材で作製された、被せ物です。天然歯と比べても遜色のない白さが再現できるほか、光の透過性にも優れているので、より自然な白さを実現することができます。金属を一切使用しないので、金属アレルギーの心配はありません。ジルコニアは人工関節としても使用されている生体親和性に優れた素材ですので、安心・安全に治療を受けて頂くことができます。

ラミネートベニア

歯の表面を少しだけ削り、そこにセラミックのシェルを貼り付けることで、歯を白くしたり形を整えたりする方法です。ホワイトニングでは白くすることができなかった歯も、ラミネートベニアであれば白くすることができる場合があります。また、すきっ歯など軽度の噛み合わせの乱れを、短期間で改善させることもできます。

BEFORE
AFTER

詰め物・被せ物料金

価格はすべて税込表示です。

メニュー名 金額
オールセラミックインレー(白い詰め物) 49,500円
オールセラミッククラウン(白い被せ物) 77,000円~
ラミネートべニア(歯をあまり削らず、歯の色、歯並びを改善) 110,000円

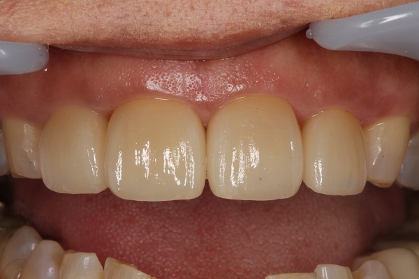
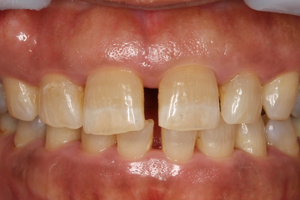
ホワイトニング

ホワイトニングとは、加齢や生活習慣により変色してしまった歯を、専用の薬剤を使って内側から白く美しくする治療です。歯科医院で治療を受けるものを「オフィスホワイトニング」と言い、患者様がご自宅で行うものを「ホームホワイトニング」と言います。

BEFORE
AFTER

オフィスホワイトニング

歯科医院で、歯科医師によって行われるホワイトニングです。歯にホワイトニング剤を塗布した後、専用器具で光を照射して、歯を内側から白く美しくしていきます。

メリット

  • 1回の治療で効果が実感できる
  • 短期間で歯を白くすることができる
  • 歯科医師・歯科衛生士に治療を任せることができる

デメリット

  • ホームホワイトニングと比較すると、色が後戻りしやすい傾向にある
  • 患者様によっては、刺激感が出る場合がある

ホームホワイトニング

患者様がご自宅で行うホワイトニングです。患者様の歯型に合わせて作ったマウスピースにホワイトニング剤を塗り、それを一定時間装着することで歯を内側から白く美しくしていきます。

メリット

  • 自分のペースでホワイトニングすることができる
  • 色の後戻りが少ない
  • 透明感のある白さになる

デメリット

  • オフィスホワイトニングと比べると、即効性が劣る
  • 自分でホワイトニングを行わなければいけない

オフィスホワイトニングの流れ

治療内容の説明

ホワイトニングについて、詳しくご説明します。(場合によっては、ホワイトニングの前にむし歯治療・歯のクリーニングが必要になる事もあります。)

色の確認

ホワイトニングを行う前に、患者様の歯の色を確認します。

ホワイトニング開始

専用の薬剤を歯に塗布し、レーザーや光を当てて歯を白くしていきます。10分間の照射を3回繰り返します。

ホワイトニング終了

レーザーや光の照射が終われば、ホワイトニングは終了となります。時間が経過すると色が後戻りする場合もありますので、効果を維持したいとお考えであれば、オフィスホワイトニングと並行して、ホームホワイトニングも受けられることをおすすめします。
(ホワイトニングの効果は個人差があります。)

メニュー名 金額
オフィスホワイトニング(クリニックで行うホワイトニング) 22,000円~
ホームホワイトニング(自宅で行うホワイトニング) 19,250円(2週間分)

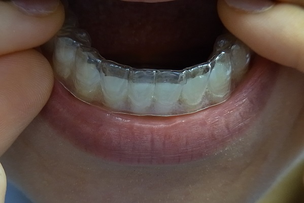
マウスピース矯正

当院では、審美的にも優れているマウスピース矯正を行っております。通常のブラケット矯正だと矯正をしていることが周りに分かってしまうので嫌だと思っている方でもマウスピース矯正でしたら、周りにも気づかれにくく、透明なので目立ちません。
取り外して洗うことも可能ですので、口腔内も清潔に保つことができます。
歯並びでお悩みの方は、お気軽にご相談ください。

メニュー名 金額
マウスピース矯正(ワイヤーを使用しない矯正) 275,000円~

ノンクラスプ(金属の止めがねが無い審美的な入れ歯)

当院では、ノンクラスプ(金属の止めがねが無い審美的な入れ歯)の入れ歯の作製をしております。入れ歯の金属部分が見えてしまうことが懸念される方は、ノンクラスプがおすすめです。
また、ノンクラスプは薄く作製することが可能なため、お口に装着した際の違和感も少なく、使いやすい入れ歯です。
入れ歯が合わない、噛みにくい、見た目が気になる方は、当院までご相談ください。

メニュー名 金額
ノンクラスプ義歯(金属の止め金がない審美的な入れ歯) 66,000円~